图片展示
031166106528
图片展示

免疫治疗能够持续多久?就算停药,疗效可持续9个月甚至更久!

浏览:407发表时间:2026-02-04 09:32

目前,免疫治疗已逐步应用于多种肿瘤的临床治疗,并与手术、化疗、放疗等传统手段联用,助力更多患者实现更优治疗效果。

然而,免疫治疗的起效速度因人而异,“用多久能起效?”“起效后能维持多久?” 等问题,成为患者及家属的核心关切。

免疫治疗起效慢?正常!

图片
PD-1/PD-L1抑制剂重新激活T细胞

相较于放化疗等传统手段,免疫治疗的起效节奏确实偏缓。其核心机制是激活人体自身免疫功能来攻击肿瘤细胞,而免疫系统的反应本身需要一定时间。化疗等传统治疗则通过药物直接杀灭肿瘤细胞,起效更快。因此,免疫治疗需要更长的周期和持续监测,才能逐步发挥作用。

免疫治疗多久起效?262 例患者数据:3 个月!

2019 年 2 月,国际肿瘤学权威期刊《Clinical Cancer Research》发表的一项研究,给出了关键答案。

图片
《Clinical Cancer Research》截图

该研究纳入 262 名患者,其中 156 例接受抗 PD-1 抗体治疗(纳武利尤单抗 27 例、帕博利珠单抗 129 例),106 例接受抗 PD-L1 抗体治疗(阿替利珠单抗 47 例、度伐利尤单抗 59 例),93% 为晚期实体瘤患者,随访时长达 5 年。

图片
患者治疗数据

临床结果显示,76 名患者的肿瘤明显缩小,其中 55 例实现部分缓解(PR),21 例达到完全缓解(CR)。

值得注意的是,这 76 名起效患者中,48 例在 3 个月时呈现客观缓解,其中位无进展生存期(PFS)为 30 个月,总生存期(OS)中位值尚未达到。

在 21 例 CR 患者中,中位随访 45 个月期间,从治疗到 CR 的中位时间为 11.5 个月,仅 3 例患者在 3 个月时即实现 CR。这表明,免疫治疗起效相对较慢,多数患者需 3 个月后才开始显现疗效。

免疫治疗一旦起效,能维持多久?

上述研究中,76 名起效患者里有 39 人因各种原因停药,其中 24 人仍维持着免疫治疗的疗效,印证了免疫治疗的长效性。

图片
A:停药后疾病进展;B:停药后的反应持续时间

越来越多证据表明,因副作用不耐受提前停药,并不会影响疗效,甚至可能与更好的治疗效果相关。CheckMate 069 研究(纳武利尤单抗联合伊匹单抗治疗恶性黑色素瘤)数据显示,即便患者因毒性反应停药,治疗获益仍可持续:66% 的患者停药后仍持续获益,完全缓解率 20%、部分缓解率 46%、病情稳定率 17%;停药患者的 2 年存活率和无疾病进展率分别达 71% 和 52%。这充分说明,免疫治疗具有长期的免疫记忆功能,且存在独特的 “拖尾效应”,停药后肿瘤仍会持续反应。

根据国内外指南推荐,PD-1/PD-L1 抑制剂作为常规治疗时,起效后需使用 2 年;若作为根治性治疗(手术、同步放化疗等)后的辅助治疗,则使用 1 年,以确保疗效稳定。

临床案例:停药 9 个月,仍有持续疗效

图片
《J CLIN GASTROENTEROL》截图

《J CLIN GASTROENTEROL》期刊的病例报告显示,一名肝内胆管癌伴肝、淋巴结转移患者接受帕博利珠单抗治疗,用药四次后,CA19-9 降至正常,CT 显示转移性肝肿瘤及增大的肝门淋巴结明显缩小。但 14 次用药后,患者出现躯干、四肢瘙痒及皮疹,被诊断为大疱性类天疱疮,遂停药并接受对症治疗。

令人意外的是,停药 9 个月后,患者仍存活且无肿瘤复发,证明即便停用帕博利珠单抗,疗效仍能持续。

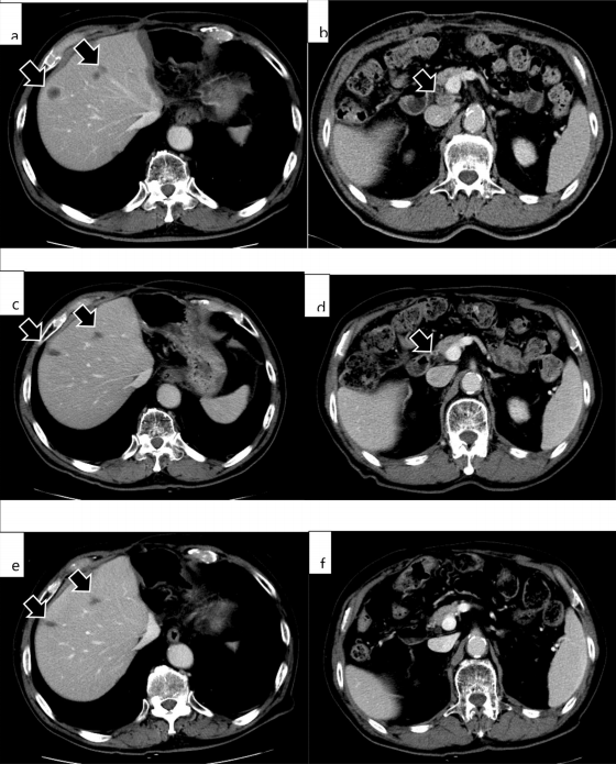
图片
腹部MRI显示第二次手术后4个月肿瘤复发;停止派姆单抗治疗9个月后复发病变未见变化(e,f)

43 例患者:无进展 6 个月后停药,肿瘤持续缓解

韩国一项发表于《Cancer》杂志的回顾性研究,纳入 139 例晚期 NSCLC 患者。在完成 2 年 ICI 治疗的 96 名患者中,85.4% 出现缓解,其中完全缓解(CR)6 例、部分缓解(PR)76 例、病情稳定(SD)14 例。

图片
患者治疗数据

在 43 例治疗超 6 个月且无疾病进展后停药的患者中,中位治疗时间 10.5 个月,90.7% 获得缓解,其中 CR 2 例、PR 37 例、SD 4 例。研究证实,完成 2 年 ICI 治疗的患者中,多数可实现长期 PFS;即使无进展患者在 6 个月后停药,仍可能获得持久缓解,助力长期生存。

免疫细胞治疗:单次 NK 疗法,可形成至少 36 周的长期免疫记忆


图片
NK细胞与其他免疫细胞

免疫细胞治疗同样属于免疫治疗范畴,其免疫记忆通常可维持 48 小时至 15 天。以 NK 疗法为例,iNKT 癌症治疗(新一代 NK 疗法)兼具特异性与非特异性双向抗肿瘤作用,可同时激活先天免疫与获得性免疫。

图片
iNKT癌症治疗

一旦 NK 疗法奏效,获得性免疫可激活免疫记忆细胞,使其在体内长期发挥作用。理论上,单次 NK 疗法(一个疗程 2 次注射),即可形成至少 36 周的长期免疫记忆。

小结

图片展示

电话:031166106528

地址:河北省石家庄市新华区677号丽景国际

图片展示

© 河北可奇生物科技有限公司 版权所有 All Right Reserved.

备案号: 冀ICP备2023032123号-2 

电话:031166106528

邮箱:keqi@keqishengwu.com

地址:河北省石家庄市新华区677号丽景国际

图片展示

© 河北可奇生物科技有限公司 版权所有 All Right Reserved.

在线咨询

您好,请点击在线客服进行在线沟通!

联系方式
热线电话
031166106528
上班时间
周一到周五
扫一扫二维码
二维码