图片展示
031166106528
图片展示

告别化疗副作用!樊代明院士:50%患者并非死于癌症本身,NK免疫细胞疗法带来安全高效新选择

浏览:349发表时间:2025-12-02 11:07

国家癌症中心《2022 年肿瘤登记年报》数据显示,我国每年新发恶性肿瘤约 482.5 万例,相当于每分钟就有 9 人被确诊。从病种来看,肺癌新发患者独占 106 万例,位居首位;乳腺癌、结直肠癌、甲状腺癌则紧随其后,构成高发癌症的主要阵营。从年龄分布看,35 岁后癌症发病率呈陡升趋势,60 岁以上人群更是超过 60% 的新发病例。

针对癌症治疗,中国工程院院士樊代明在《健康观察室》栏目座谈时提出关键观点:“约 50% 的癌症患者,并非直接死于肿瘤本身,而是死于治疗过程中出现的并发症,比如器官功能衰退或严重感染。”

他进一步直言化疗药物的局限性:“化疗药物从使用开始就伴随着健康风险,很多患者即便成功控制了肿瘤,最终也会因心、肝、肾等重要脏器受损而失去生命。”

01

抗癌卫士NK细胞的四大作用机制

NK 细胞,全称为自然杀伤细胞,是人体免疫系统中与生俱来的 “健康守护者”。它之所以能成为抗癌的关键力量,源于其强大的四大抗癌机制:

精准识别,直接杀伤:NK免疫细胞能够直接识别并清除癌细胞和病毒感染的细胞,实现精准打击,且副作用远小于放化疗。

增强免疫,预防复发:通过激活全身免疫系统,NK免疫细胞有助于建立长期的“免疫记忆”,有效预防癌症复发。

广泛适用,突破耐药:对于传统治疗效果不佳的肿瘤类型,NK免疫细胞疗法同样展现出良好效果,并能逆转靶向药的耐药性。

长期监控,持续保护:NK免疫细胞在体内形成“免疫监视网”,能够长期监控并清除残留的癌细胞,提供持久的保护。

02

临床实证:NK细胞疗法在癌症中的应用

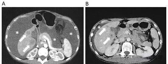
1、卵巢癌:原发肿瘤显著缩小,多发转移消失

2024 年 4 月,《Cureus》医学杂志报道了一名双侧卵巢癌多发转移患者,通过应用联合免疫细胞疗法成功抗癌的故事。结果显示:

肿瘤标志物下降,腹水消退:经过三次NK细胞治疗后,患者的病情出现了临床改善。在第四次和第五次N 细胞治疗后,患者的肿瘤标志物也呈现出积极的变化。癌胚抗原(CEA)和糖类抗原 125(CA125)从最初的不稳定状态,在经过多次 NK 细胞治疗后,都出现了显著下降,同时腹水也明显减少。

原发肿瘤缩小,多发转移消失:治疗进行到第 142 天时,PET-CT 检查显示,患者体内的肺转移和腹膜播散情况已经消失,肝转移和原发性病变也明显缩小。

安全性良好:治疗中,除免疫细胞注射引发发热反应外,患者无其他副作用及身体损害。研究人员认为,此发热反应是抗肿瘤免疫激活指标,但非所有患者都会出现。

2、晚期肝癌:放化疗+NK细胞,疾病控制率达81.8%

2022年6月发表于《Frontiers in Immunology》的研究显示,13名晚期肝细胞癌患者接受肝动脉化疗与局部高剂量NK细胞联合治疗后:4名患者完全缓解,3名患者部分缓解,2名患者病情稳定,客观缓解率为63.6%,疾病控制率高达81.8%。

3、结直肠癌:术后+NK细胞,3年无复发

《Cancer Reports》报道了一例III期结直肠癌患者,术后复发后接受NK细胞治疗,3年内无复发转移,疗效稳定。另一例64岁女性患者,术后化疗复发且出现严重过敏反应,接受两轮NK免疫细胞治疗后,3年无肿瘤复发,生活质量良好。

03

NK细胞疗法,更适合哪些患者?

放化疗、手术、靶向药等传统治疗手段,能帮助患者清除大部分癌细胞,但往往难以彻底清除残留癌细胞和耐药细胞。而NK细胞疗法与传统治疗的联合,既能清除残留及耐药细胞,又能重建免疫系统,还能减轻传统治疗的毒副作用,同时提供持续的免疫监视,预防癌细胞复发和转移。

那么,哪些患者适合NK细胞疗法呢?专家给出了明确建议:

放化疗前后/术后患者:联合NK细胞治疗,能有效清除体内残留的癌细胞,降低癌症复发的风险。

中晚期患者:中晚期癌症治疗难度较大,传统治疗效果往往有限。联合 NK细胞疗法,能显著提高治疗效果,帮助患者延长生存期,改善生活状态。

图片展示

电话:031166106528

地址:河北省石家庄市新华区677号丽景国际

图片展示

© 河北可奇生物科技有限公司 版权所有 All Right Reserved.

备案号: 冀ICP备2023032123号-2 

电话:031166106528

邮箱:keqi@keqishengwu.com

地址:河北省石家庄市新华区677号丽景国际

图片展示

© 河北可奇生物科技有限公司 版权所有 All Right Reserved.

在线咨询

您好,请点击在线客服进行在线沟通!

联系方式
热线电话
031166106528
上班时间
周一到周五
扫一扫二维码
二维码